025-87183621
服务项目 服务项目

油红O染色

技术原理油红O对脂滴的染色机制一般认为是物理学上的溶液作用或吸附作用,借溶液作用使脂质染色,即油红O先溶于60%异丙醇中,然后切片浸入油红O染液中时,油红O在组织脂质的溶解度较60%异丙醇中的溶解度高,所以在染色时油红O从60%异丙醇中转移入脂质中使脂滴显示红色。实验流程实验结果展示:<油红O-肝>送样运


全国咨询电话:025-87183621

服务详情

技术原理

油红O对脂滴的染色机制一般认为是物理学上的溶液作用或吸附作用,借溶液作用使脂质染色,即油红O先溶于60%异丙醇中,然后切片浸入油红O染液中时,油红O在组织脂质的溶解度较60%异丙醇中的溶解度高,所以在染色时油红O从60%异丙醇中转移入脂质中使脂滴显示红色。

实验流程

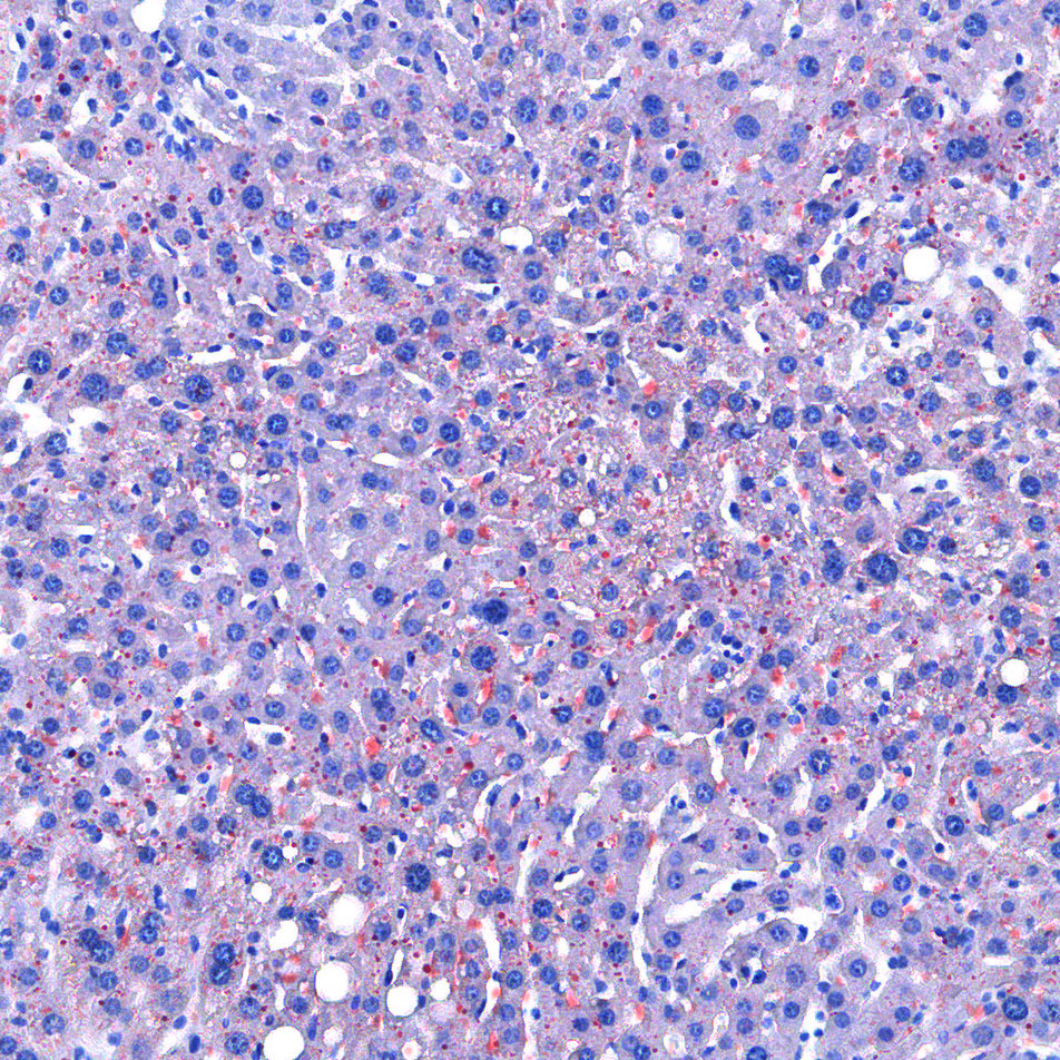
实验结果展示:


<
油红O-肝>

 
送样运输要求

1、样本放置于20倍样本体积的固定液中固定24h以上,常温运输送样。切勿固定时间过长,切勿冷冻结冰

2、新鲜组织干冰运输

3、冰冻切片-20℃运输。
 


在线留言

Online message

姓名

电话

留言内容

联系我们

Contact us
南京东极生物科技有限公司
扫一扫关注
  • 地址:南京市六合区新港湾路166号协合智谷产业园16-3栋
  • 电话:139-1599-6230   025-87183621
  • 邮箱:sales@dj-cro.com
  • 网址:http://kezilesu.dj-cro.com
Copyright © 2023 南京东极生物科技有限公司版权所有 All Rights Reserved.
  • 公司联系方式
    QQ
  • 公司微博
    微博
  • 网站首页
    首页
  • 公司联系电话
    电话
  • 返回
    返回顶部